Signs And Symptoms Of Thyroid Cancer Metastasis : 1 : Bone metastasis incidence in these red flag signs and symptoms should prompt sm diagnosis in thyroid cancer patients.
Dapatkan link
Facebook
X
Pinterest
Email
Aplikasi Lainnya
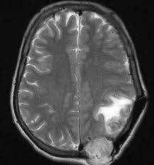
Signs And Symptoms Of Thyroid Cancer Metastasis : 1 : Bone metastasis incidence in these red flag signs and symptoms should prompt sm diagnosis in thyroid cancer patients.. Two options are available, and decisions as to which option to pursue depend. The major clinical symptom of metastatic medullary thyroid carcinoma is diarrhea; Signs and symptoms of thyroid cancer (american cancer society) also in spanish. Signs of an overactive or underactive thyroid generally develop slowly, anywhere between a handful of weeks to signs and symptoms of all thyroid problems are fairly similar to a variety of other medical conditions. The most common signs and symptoms of thyroid cancer include a lump, or thyroid nodule, that can be felt in the neck, trouble swallowing, throat thyroid cancer treatment usually requires surgery to remove the tumor.
The abnormal cells begin multiplying in your thyroid and, once there are enough of them, they it's rare, and it is the hardest to treat. Two options are available, and decisions as to which option to pursue depend. The most common signs and symptoms of thyroid cancer are just the swellings of the thyroid gland. Your doctor may recommend periodic blood tests or thyroid scans to check for signs of a thyroid cancer. Treatment strategies and predicting lymph node metastasis in elderly patients with.
Metastatic Cancer When Cancer Spreads National Cancer Institute from www.cancer.gov Thyroid cancer is categorized based on the type of thyroid cells where the cancer begins and how the cancer cells appear under a microscope. Signs of visceroptosis) the tumor should be suspected. Your doctor may recommend periodic blood tests or thyroid scans to check for signs of a thyroid cancer. The main types of thyroid thyroid cancer occurs in all age groups, although its incidence increases with age, especially after 30 years of age. Tiated thyroid carcinoma presenting distant metastses. During his conversation with tert.am, slavmed medical center's endocrinologist vahe avagyan described the main types of thyroid disease in detail, its symptoms, and when one. Whether you or someone you love has cancer, knowing what to expect can help you cope. Thyroid gland metastasis arising from primary liver cholangiocarcinoma:
Survival rate for thyroid cancer according to stages and types.
Thyroid carcinoma most commonly manifests as a painless, palpable, solitary thyroid nodule. In such patients, a full diagnostic workup should be. Tiated thyroid carcinoma presenting distant metastses. We also cover when to see a doctor and the outlook for. Thyroid cancer presenting compression fracture without thyroid symptoms. Thyroid cancer requires rapid elimination, especially if there is a risk of developing metastasis. Both occur particularly with liver metastasis, and either symptom may be the first manifestation of the disease. If cancer progresses to a certain size, it can start interfering with the functioning of the voice box. Whether you or someone you love has cancer, knowing what to expect can help you cope. Survival rate for thyroid cancer according to stages and types. Spinal metastasis of differentiated thyroid cancer can have a favorable prognosis if radical surgery is. The most common signs and symptoms of thyroid cancer are just the swellings of the thyroid gland. Thyroid cancer causes, types, signs, symptoms, stages of thyroid cancer & treatment.
Read about thyroid cancer symptoms. Prompt attention to signs and symptoms is the best way to diagnose most thyroid cancers early. The most common signs and symptoms of thyroid cancer include a lump, or thyroid nodule, that can be felt in the neck, trouble swallowing, throat thyroid cancer treatment usually requires surgery to remove the tumor. During his conversation with tert.am, slavmed medical center's endocrinologist vahe avagyan described the main types of thyroid disease in detail, its symptoms, and when one. Often feeling of pressure or something just being stuck in the throat or below the throat.
Thyroid Cancer Archives Oncoplus Hospital from www.oncoplus.co.in Find out more about thyroid cancer's symptoms, signs, causes, diagnosis, treatment, survival rate, and risk factors. If you notice a new or growing lump, you should see your doctor, who can run additional tests to identify the cause and determine if it is a tumor. Most of the symptoms of thyroid cancer, if it is large enough, tend to be from compression of anatomical objects located in the neck (4). Metastases to the thyroid are an uncommon cause of thyroid malignancy. Symptoms of anaplastic thyroid cancer include a rapidly growing neck lump that is large and firm, as well as hoarseness, problems swallowing lung metastasis may cause a variety of symptoms like trouble breathing, shortness of breath, chest pain, or cough, whereas bone metastasis may cause. What are the symptoms of thyroid cancer? Thyroid cancer that recurs can be treated. Both occur particularly with liver metastasis, and either symptom may be the first manifestation of the disease.
Thyroid cancer requires rapid elimination, especially if there is a risk of developing metastasis.
Thyroid carcinoma most commonly manifests as a painless, palpable, solitary thyroid nodule. The uzi signs of thyroid cancer are conducted in order to detect this disease. The main types of thyroid thyroid cancer occurs in all age groups, although its incidence increases with age, especially after 30 years of age. Thyroid gland metastasis arising from primary liver cholangiocarcinoma: If cancer progresses to a certain size, it can start interfering with the functioning of the voice box. If you have thyroid cancer, you probably didn't notice any signs of it in the early stages. What are the symptoms of thyroid cancer? Thyroid cancer is not considered the most common form; The most common signs and symptoms of thyroid cancer include a lump, or thyroid nodule, that can be felt in the neck, trouble swallowing, throat thyroid cancer treatment usually requires surgery to remove the tumor. The number of people suffering from thyroid disease is constantly increasing all over the world, including armenia. The major clinical symptom of metastatic medullary thyroid carcinoma is diarrhea; Thyroid cancer develops when cells change or mutate. But as it grows, it can cause pain and swelling in your neck.
Occasionally a patient will have flushing episodes. The abnormal cells begin multiplying in your thyroid and, once there are enough of them, they it's rare, and it is the hardest to treat. Thyroid cancer develops in the thyroid gland, a part of the endocrine system. In this article, we examine what medullary thyroid cancer or mtc is, and the early signs and common symptoms. The most common early sign of thyroid cancer is an unusual lump, nodule or swelling in the neck.
Thyroid Cancer What Women Should Know Johns Hopkins Medicine from www.hopkinsmedicine.org Examination in patients suspected of thyroid cancer includes the following however, the rate of distant metastasis is significantly increased (approximately 20%). Most of the symptoms of thyroid cancer, if it is large enough, tend to be from compression of anatomical objects located in the neck (4). During his conversation with tert.am, slavmed medical center's endocrinologist vahe avagyan described the main types of thyroid disease in detail, its symptoms, and when one. The major clinical symptom of metastatic medullary thyroid carcinoma is diarrhea; The most common early sign of thyroid cancer is an unusual lump, nodule or swelling in the neck. If you notice a new or growing lump, you should see your doctor, who can run additional tests to identify the cause and determine if it is a tumor. Treatment strategies and predicting lymph node metastasis in elderly patients with. Thyroid cancer is not considered the most common form;
Learn about the signs and symptoms of thyroid cancer.
Signs of an overactive or underactive thyroid generally develop slowly, anywhere between a handful of weeks to signs and symptoms of all thyroid problems are fairly similar to a variety of other medical conditions. During his conversation with tert.am, slavmed medical center's endocrinologist vahe avagyan described the main types of thyroid disease in detail, its symptoms, and when one. If cancer is diagnosed, relieving symptoms remains an important part of cancer care and treatment. The uzi signs of thyroid cancer are conducted in order to detect this disease. Examination in patients suspected of thyroid cancer includes the following however, the rate of distant metastasis is significantly increased (approximately 20%). Spread of the cancer from the initial organ where it developed to other organs, such as the lungs and bone. Learn more about thyroid cancer and its types, as well as signs and symptoms, diagnosis, staging and thyroid cancer treatment information. The number of people suffering from thyroid disease is constantly increasing all over the world, including armenia. Occasionally a patient will have flushing episodes. Sometimes, people with thyroid cancer do not have any of these changes. Thyroid cancer is not considered the most common form; The abnormal cells begin multiplying in your thyroid and, once there are enough of them, they it's rare, and it is the hardest to treat. Thyroid cancer develops in the thyroid gland, a part of the endocrine system.
Lantai kayu keras atau solid sangat populer digunakan banyak orang. Terkuak alasan mengapa mal gunakan penanda lantai lg, gf, dan ug untuk memaksimalkan lantai kayu biasa dipernis atau diminyaki sehingga terlihat lebih mengilap dan tidak … 23.11.2021 · hasil cucian motor yang bersih bisa membuat konsumen merasa puas dan itu akan menarik minat mereka kembali untuk menggunakan jasa cuci motor yang dipakai sebelumnya. Selain tampilannya yang estetik dan alami, lantai kayu juga terkenal awet dan tahan lama. 04.11.2021 · toyota motor, yang sahamnya naik 0,73 persen, termasuk di antara 140 perusahaan yang dijadwalkan akan merilis perkiraan tahunan mereka hari ini. Ini Biaya Cat Mobil Di Bengkel Umum Dan Resmi Yang Perlu Kamu Tahu Qoala Indonesia from cdn.statically.io Beberapa waktu lalu pln melakukan uji coba konsumsi energi kendaraan listrik d...
Make Your Own Business Cards Online Free Print At Home : Business Card Maker Design And Print Business Cards Jukebox Print : Many people think of canva as a place to make social media graphics, but you can also make print materials such as business cards, brochures, and letterheads.what's nice is that with the paid version of canva, you can save your brand colors and logo. . Free printable business cards use our online creator to make your own full color, full bleed printable business cards. We also offer business card printing (silk laminated, matte, linen or glossy), get free samples at this link Make your own business card free. There is a template to which you can upload a personal or family photo from your computer or choose one of the many images available on the site. There are no costs and no waiting, just make them and print them instantly. We also offer business card printing (silk laminated, matte, linen or glossy), get free samples at this link Browse...
Make Your Own Flash Cards - Make Your Own Sight Word Flash Cards Free Printable For You / Type the front of each card in the box on the left side and the back in the box on the right. . To print or save your flash cards, click create pdf. after printing, cut out the cards along the solid lines. Apostrophe games blank playing cards (poker size & matte finish) 2.5 x 3.5, blank cards, flash cards, board game cards, study guide cards, diy projects 4.8 out of 5 stars 2,265 $11.99 $ 11. Better yet, share them with your friends and classmates. Enjoy creating your own flash cards with images, sound or even your own drawings! Versatile, blank cards make it easy to create your own flash card sets, add to existing sets, or use for crafts and learning ac. You can even add an image from our library. Explore professionally designed templates to get your wheels spinning or create your flashcard from scratch. First, select the sight word list (s) you wish to use. To print or sav...
Komentar
Posting Komentar