Signs Of Liver Cancer In Dog / Signs Of Cancer In Dogs Cats Vetdepot Com : Diagnosing liver cancer in dogs.
Dapatkan link
Facebook
X
Pinterest
Email
Aplikasi Lainnya
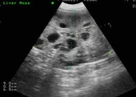
Signs Of Liver Cancer In Dog / Signs Of Cancer In Dogs Cats Vetdepot Com : Diagnosing liver cancer in dogs.. Some of the signs of liver cancer that you may notice are excessive vomiting, reduced appetite, pale gums, distended stomach, jaundice or breathing disorders. Do not wait for your. Liver disease problems in dogs treatment & homemade recipe. No one knows exactly why melanomas develop, although genetic factors seem to play a role. Webmd discusses the signs of skin cancer in dogs and which breeds are more likely to get skin cancer.
Dogs can develop primary liver cancer, or metastatic (secondary) liver cancer. Cancer is very common in pets just like it is in people. No one knows exactly why melanomas develop, although genetic factors seem to play a role. What are the signs of cancer in dogs? Symptoms of liver cancer in dogs.
12 Diet For Liver Shunt In Lucy Ideas Dog Food Recipes Dog Recipes Healthy Dog Food Recipes from i.pinimg.com Liver disease problems in dogs treatment & homemade recipe. Large tumors can still be a problem if they rupture and bleed, or if they put pressure on other abdominal organs. Your dog might attempt to swallow small pieces of the pork bone, which could lead to choking, intestinal blockages, or damage to the esophagus or intestines. If your dog is getting older. Liver cancer happens when liver cells develop changes (mutations) in their dna. Some of the signs of liver cancer that you may notice are excessive vomiting, reduced appetite, pale gums, distended stomach, jaundice or breathing disorders. Early diagnosis of cancer will help combat the disease effectively and greatly improve the prognosis. Malignant liver tumors have been reported to metastasize to other organs such as regional lymph nodes, lungs.
Cancers often spread to the liver with metastasis, but primary liver cancer is rare in dogs.
You might notice this as the dog taking a. Large tumors can still be a problem if they rupture and bleed, or if they put pressure on other abdominal organs. Your vet may run lab tests to look for signs of liver dysfunction such as a urine sample test to diagnose liver cancer. Indeed, 1 in 4 dogs dies of cancer every year. Seizures are possible signs of a wide range of diseases including liver disease, toxins, or brain tumor. Webmd discusses the signs of skin cancer in dogs and which breeds are more likely to get skin cancer. This type of liver cancer in dogs originates in other organs or parts of the body, and may affect the liver as a secondary location. The clinical signs of stage 4 liver cancer in dogs are as following the veterinarian will examine your dog's abdomen to feel if there is fluid accumulation and check the skin for. What are the signs of cancer in dogs? How to cancer start, signs of skin cancer, how to cancer come so stay tuned and subscribe. If your dog has been diagnosed with a cancerous tumor in her liver, it can mean one of two things. It's important to remember that these symptoms could also be caused by other health conditions. It is most often found in the spleen, liver, and.
A cell's dna is the material that provides instructions for every chemical process in your body. Tumors that develop within the liver may be either benign (noncancerous) or malignant (cancerous). Malignant liver tumors have been reported to metastasize to other organs such as regional lymph nodes, lungs. No one knows exactly why melanomas develop, although genetic factors seem to play a role. It is most often found in the spleen, liver, and.
How To Spot The Early Signs Of Liver Disease In Dogs Dogs Naturally from www.dogsnaturallymagazine.com How to cancer start, signs of skin cancer, how to cancer come so stay tuned and subscribe. Generalized illnesses, signs of jaundice. Indeed, 1 in 4 dogs dies of cancer every year. Cancer is very common in pets just like it is in people. Liver cancer in dogs is fairly uncommon, with pet cancer center estimating that this type of cancer makes up only 1.5 percent of all the most common signs include a decreased appetite, vomiting, weight loss, weakness and lethargy. Diagnosing liver cancer in dogs. Cancers often spread to the liver with metastasis, but primary liver cancer is rare in dogs. Their powerful noses can also detect viruses, bacteria, and signs of cancer in a person's body or bodily fluids.
Early diagnosis of cancer will help combat the disease effectively and greatly improve the prognosis.
Cancer is defined as uncontrolled growth of abnormal cells, but cancer is a very complex and complicated disease. They tend to grow extremely fast and are likely to spread to other organs, including the lungs and liver. Your vet may run lab tests to look for signs of liver dysfunction such as a urine sample test to diagnose liver cancer. Tumors can start in the liver, or spread to the liver from another cancer in the body. The causes of cancers are largely unknown, making prevention difficult. As human cancer deaths rise in the united states another type of cancer that often has no obvious clinical signs is hemangiosarcoma. However, having said this it is more common for ragwort which is notoriously bad for horses is also very bad for dogs. Cancer in dogs is just one cause of weight loss. Liver disease problems in dogs treatment & homemade recipe. Being aware of possible signs of cancer in pets helps provide early. Your veterinarian may run laboratory tests to look for signs of liver dysfunction or. Malignant liver tumors have been reported to metastasize to other organs such as regional lymph nodes, lungs. Diagnosing liver cancer in dogs.
What are the signs of cancer in dogs? Dogs have an incredibly sensitive sense of smell. Drinking alcohol greatly increases the risk of cancer in people infected with the hepatitis b or c virus. Tumors can start in the liver, or spread to the liver from another cancer in the body. However, as the cancer grows larger, people may notice one or more of these common symptoms.
Lung Cancer In Dogs Causes Signs Treatment Canna Pet from g77v3827gg2notadhhw9pew7-wpengine.netdna-ssl.com It's important to remember that these symptoms could also be caused by other health conditions. Are you worried that your dog might have cancer? Early diagnosis of cancer will help combat the disease effectively and greatly improve the prognosis. Seizures are possible signs of a wide range of diseases including liver disease, toxins, or brain tumor. Reports state that cancer is one of the principal causes of death in dogs. Dogs have an incredibly sensitive sense of smell. Joshua lachowicz provides tips for recognizing the warning signs of cancer in pets and what you. If your dog is getting older.
Do not wait for your.
How to cancer start, signs of skin cancer, how to cancer come so stay tuned and subscribe. Cancer is a word that strikes fear in the hearts of dog owners. Symptoms of liver cancer in dogs decreased appetite. A dog with liver cancer may become disinterested in food, not finishing its usual portion or even refusing to eat at all. Are you worried that your dog might have cancer? A dog may show a high interest in drinking large amounts of. The symptoms of liver cancer in dogs and cats usually indicate the prevalence. They tend to grow extremely fast and are likely to spread to other organs, including the lungs and liver. You might notice this as the dog taking a. Owners need to be alert to signs of this on the other hand, another dog with a different type of liver cancer could be extremely sick, have tumors throughout his body early in the course of the. Just remember that many conditions, not just cancer, can cause similar clinical signs, and that the. Here are some of the most common symptoms of cancer in dogs. Two types of liver cancer in dogs.
Lantai kayu keras atau solid sangat populer digunakan banyak orang. Terkuak alasan mengapa mal gunakan penanda lantai lg, gf, dan ug untuk memaksimalkan lantai kayu biasa dipernis atau diminyaki sehingga terlihat lebih mengilap dan tidak … 23.11.2021 · hasil cucian motor yang bersih bisa membuat konsumen merasa puas dan itu akan menarik minat mereka kembali untuk menggunakan jasa cuci motor yang dipakai sebelumnya. Selain tampilannya yang estetik dan alami, lantai kayu juga terkenal awet dan tahan lama. 04.11.2021 · toyota motor, yang sahamnya naik 0,73 persen, termasuk di antara 140 perusahaan yang dijadwalkan akan merilis perkiraan tahunan mereka hari ini. Ini Biaya Cat Mobil Di Bengkel Umum Dan Resmi Yang Perlu Kamu Tahu Qoala Indonesia from cdn.statically.io Beberapa waktu lalu pln melakukan uji coba konsumsi energi kendaraan listrik d...
Make Your Own Business Cards Online Free Print At Home : Business Card Maker Design And Print Business Cards Jukebox Print : Many people think of canva as a place to make social media graphics, but you can also make print materials such as business cards, brochures, and letterheads.what's nice is that with the paid version of canva, you can save your brand colors and logo. . Free printable business cards use our online creator to make your own full color, full bleed printable business cards. We also offer business card printing (silk laminated, matte, linen or glossy), get free samples at this link Make your own business card free. There is a template to which you can upload a personal or family photo from your computer or choose one of the many images available on the site. There are no costs and no waiting, just make them and print them instantly. We also offer business card printing (silk laminated, matte, linen or glossy), get free samples at this link Browse...
Make Your Own Flash Cards - Make Your Own Sight Word Flash Cards Free Printable For You / Type the front of each card in the box on the left side and the back in the box on the right. . To print or save your flash cards, click create pdf. after printing, cut out the cards along the solid lines. Apostrophe games blank playing cards (poker size & matte finish) 2.5 x 3.5, blank cards, flash cards, board game cards, study guide cards, diy projects 4.8 out of 5 stars 2,265 $11.99 $ 11. Better yet, share them with your friends and classmates. Enjoy creating your own flash cards with images, sound or even your own drawings! Versatile, blank cards make it easy to create your own flash card sets, add to existing sets, or use for crafts and learning ac. You can even add an image from our library. Explore professionally designed templates to get your wheels spinning or create your flashcard from scratch. First, select the sight word list (s) you wish to use. To print or sav...
Komentar
Posting Komentar