What Do Cancer Margins Mean / Squamous Cell Carcinoma Of The Larynx Mypathologyreport Ca - Possible signs and symptoms include a lump, abnormal bleeding, prolonged cough, unexplained weight loss.
Dapatkan link
Facebook
X
Pinterest
Email
Aplikasi Lainnya
What Do Cancer Margins Mean / Squamous Cell Carcinoma Of The Larynx Mypathologyreport Ca - Possible signs and symptoms include a lump, abnormal bleeding, prolonged cough, unexplained weight loss.. Advanced cervical cancer may cause vaginal bleeding or discharge. What does it mean to get palliative care? The strongest, but still limited, evidence for an association with eating red meat. Positive margins, on the other hand, may indicate the presence of invasive breast cancer, and you may need to have a mastectomy in order to be sure that all cancer has been removed and to prevent a recurrence. Cancer causes cells to divide uncontrollably.
Bladder cancer can often be found early because it causes blood in the urine or other urinary the american cancer society couldn't do what we do without the support of our partners. Learn more about breast cancer warning signs, lung cancer warning signs, or the early signs of prostate cancer. These contrast with benign tumors, which do not spread. A positive margin means presence of cancer cells at that peripheral part of the specimen. Should we get another pathologist's opinion?
1 from These contrast with benign tumors, which do not spread. Read about cancer signs, stages, cells, symptoms, and types. A positive margin means presence of cancer cells at that peripheral part of the specimen. When cancer grows, it can push on nearby organs, nerves, and blood vessels, which can cause signs and symptoms. How is cervical cancer diagnosed and treated? The goal is to obtain clean margins—breast tissue around the tumor that is completely free of cancer. You or someone you know may face cancer. Choice, what do you want to do?'.so, i did a lot of research.''
Errors in the instructions can cause the cell to stop its normal function and may allow a cell to become cancerous.
A positive lumpectomy margin means cancer cells come to the edge of the removed tissue. Close margins found after a lumpectomy might require another surgical procedure, called. More surgery is usually needed to remove any remaining cancer. Successful treatment could depend on knowing the symptoms for common cancers. Why noticing cancer symptoms is important. During or after breast cancer surgery, a pathologist examines tissue called the surgical margin. № 1 ответьте на вопросы: What do gene mutations do? You may want to ask: Tis means the cancer is growing only in the most superficial layer of tissue (this is usually true with stage 0 or in situ cancer). After heart disease, it is the second most common cause of death in the united states. Cancers do best in jobs that offer them a high degree of security in terms of employment and wages. Read about cancer signs, stages, cells, symptoms, and types.
Margins are checked after surgical biopsy. Breast cancer lumpa cancerous lump can be identified by its hardness and irregular margins and surface. This can result in tumors, damage to the immune system, and other impairment that can be fatal. 8 call our helpline on 0808 800 6000. But for clarity sake what we mean by psa recurrence is that not all of the cancer was removed at the time of surgery.
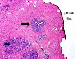
Cancer Resection And Surgical Margins Robotic Prostatectomy Thomas Ahlering M D Department Of Urology from www.urology.uci.edu Blood in the urine doesn't always mean you have bladder cancer. During or after breast cancer surgery, a pathologist examines tissue called the surgical margin. What does r mean in staging? Residual cancer/ margins after resection r0 (none), r1 (micro), r2 (macro). If a breast cancer has spread to an inguinal node, is that n or m? It means that the patient needs to be taken back to the operating theater for revising the margins, i.e. A positive or involved margin means there are cancer cells in the margin. Inform yourself about the role viruses play in contributing to cancer.
But for clarity sake what we mean by psa recurrence is that not all of the cancer was removed at the time of surgery.
Does the pathology report specify the tumor characteristics clearly? Even the smallest tumors can cause related: If you have cancer caused by hpv, you don't need to. More often it's caused by other things like an. What do my test results mean? You or someone you know may face cancer. Find out the basics about cancer, including symptoms, causes and treatments. Successful treatment could depend on knowing the symptoms for common cancers. The stage of a cancer describes the size of a tumour and how far it has spread from where it originated. Cancer causes cells to divide uncontrollably. Learn what cancer is and what causes it. Positive margins, on the other hand, may indicate the presence of invasive breast cancer, and you may need to have a mastectomy in order to be sure that all cancer has been removed and to prevent a recurrence. In other words, there is convincing evidence what types of cancers are linked or associated with eating red meat?
Successful treatment could depend on knowing the symptoms for common cancers. You or someone you know may face cancer. Margins are checked after surgical biopsy. If you have cancer caused by hpv, you don't need to. Learn steps you can take to prevent cancer.
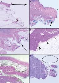
Surgical Margins In The Management Of Extremity Soft Tissue Sarcoma Endo Chinese Clinical Oncology from cdn.amegroups.cn Close margins found after a lumpectomy might require another surgical procedure, called. Does the pathology report specify the tumor characteristics clearly? Breastcancer.org helps you learn more about if cancer cells are present, this will influence decisions about treatments such as additional surgery and radiation. This means that it is likely that cancerous cells are still in the body. Why noticing cancer symptoms is important. The risk of not getting all of the thus of the adverse prognostic predictors, only surgical margins are dependent on surgical technique. Read about cancer signs, stages, cells, symptoms, and types. This means that if you have hpv, it's likely that your sexual partners may also have hpv.
It means that the patient needs to be taken back to the operating theater for revising the margins, i.e.
Cancer is a group of diseases involving abnormal cell growth with the potential to invade or spread to other parts of the body. Ki67 is a protein found in cells. Why noticing cancer symptoms is important. Possible signs and symptoms include a lump, abnormal bleeding, prolonged cough, unexplained weight loss. What grade is the breast cancer? These contrast with benign tumors, which do not spread. Even the smallest tumors can cause related: In breast cancer what do the n levels mean? How did it originate, and what do all these symbols and constellations mean? What do my test results mean? Margins are checked after surgical biopsy. Does the pathology report specify the tumor characteristics clearly? What does r mean in staging?
Lantai kayu keras atau solid sangat populer digunakan banyak orang. Terkuak alasan mengapa mal gunakan penanda lantai lg, gf, dan ug untuk memaksimalkan lantai kayu biasa dipernis atau diminyaki sehingga terlihat lebih mengilap dan tidak … 23.11.2021 · hasil cucian motor yang bersih bisa membuat konsumen merasa puas dan itu akan menarik minat mereka kembali untuk menggunakan jasa cuci motor yang dipakai sebelumnya. Selain tampilannya yang estetik dan alami, lantai kayu juga terkenal awet dan tahan lama. 04.11.2021 · toyota motor, yang sahamnya naik 0,73 persen, termasuk di antara 140 perusahaan yang dijadwalkan akan merilis perkiraan tahunan mereka hari ini. Ini Biaya Cat Mobil Di Bengkel Umum Dan Resmi Yang Perlu Kamu Tahu Qoala Indonesia from cdn.statically.io Beberapa waktu lalu pln melakukan uji coba konsumsi energi kendaraan listrik d...
Make Your Own Business Cards Online Free Print At Home : Business Card Maker Design And Print Business Cards Jukebox Print : Many people think of canva as a place to make social media graphics, but you can also make print materials such as business cards, brochures, and letterheads.what's nice is that with the paid version of canva, you can save your brand colors and logo. . Free printable business cards use our online creator to make your own full color, full bleed printable business cards. We also offer business card printing (silk laminated, matte, linen or glossy), get free samples at this link Make your own business card free. There is a template to which you can upload a personal or family photo from your computer or choose one of the many images available on the site. There are no costs and no waiting, just make them and print them instantly. We also offer business card printing (silk laminated, matte, linen or glossy), get free samples at this link Browse...
Make Your Own Flash Cards - Make Your Own Sight Word Flash Cards Free Printable For You / Type the front of each card in the box on the left side and the back in the box on the right. . To print or save your flash cards, click create pdf. after printing, cut out the cards along the solid lines. Apostrophe games blank playing cards (poker size & matte finish) 2.5 x 3.5, blank cards, flash cards, board game cards, study guide cards, diy projects 4.8 out of 5 stars 2,265 $11.99 $ 11. Better yet, share them with your friends and classmates. Enjoy creating your own flash cards with images, sound or even your own drawings! Versatile, blank cards make it easy to create your own flash card sets, add to existing sets, or use for crafts and learning ac. You can even add an image from our library. Explore professionally designed templates to get your wheels spinning or create your flashcard from scratch. First, select the sight word list (s) you wish to use. To print or sav...
Komentar
Posting Komentar